
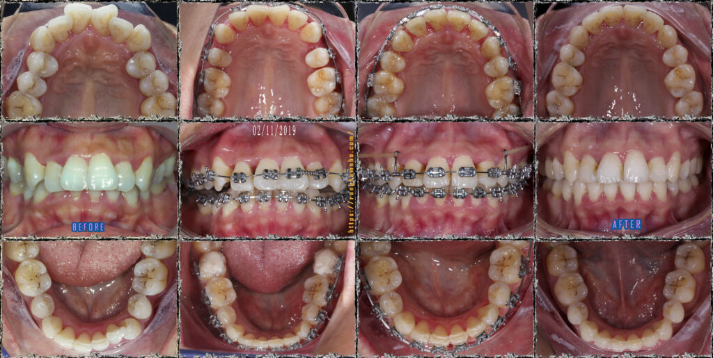
BN sinh năm 1987, đến phòng khám với than phiền hô, nụ cười khấp khểnh, răng chen chúc nhiều. Qua thăm khám đây là một trường hợp hô khá nặng kết hợp cả hô do răng và hô do xương. Nếu mong muốn cải thiện 100% thì BN cần phẫu thuật, cài thiện sau niềng răng đơn thuần chỉ đạt 60-70%.

BN chọn niềng răng đơn thuần với chỉ định nhổ 4 răng số 4, có neo chặn hỗ trợ bằng 2 minivis ở hàm trên.

Sau 2 năm đeo niềng, kết quả trục răng đã thay đổi rất tích cực, tình trạng khớp cắn sâu cũng đã được giải quyết triệt để. Nụ cười cải thiện rõ rệt so với trước niềng.

Zalo/ call Dr Duc: 0365500698 / ranghamnho@gmail.com
Mọi ý kiến góp ý xin liên hệ: https://www.facebook.com/dentalsharing or https://www.facebook.com/ranghamnho or https://www.youtube.com/ranghamnho
