
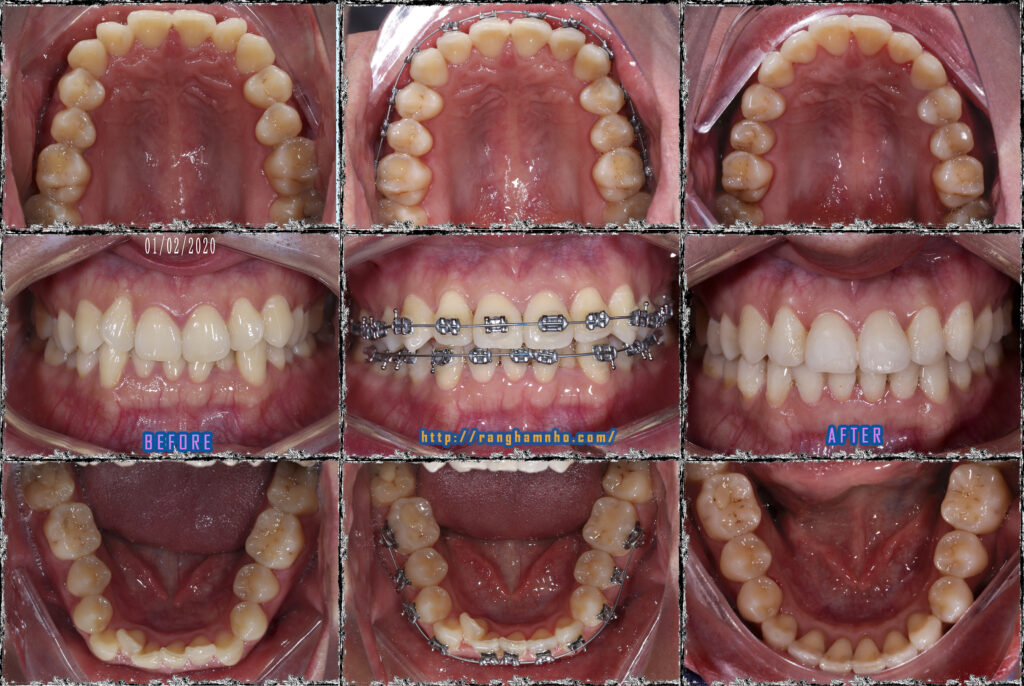
Một chị gái chưa niềng đã xinh, sau niềng bao xuynh . Cả hai hàm răng chen chúc, cung hàm vuông, nụ cười khấp khểnh.
BN chọn mắc cài kim loại truyền thống, gắn mắc cài và đồng hành cả năm trời. Trước niềng khuôn mặt hơi tròn, hơi bánh bao; sau tháo niềng mặt như ở dưới ảnh, best oval v line và rồi cũng đến ngày tháo niềng.


Bệnh nhân có cung hàm vuông, răng chen chúc cả hai hàm, khuôn miệng cười không đẹp. Gắn mắc cài kim loại truyển thống, sử dụng dây cung nong Damon qua các giai đoạn theo trình tự: San bằng, sắp đều, xử lí thiếu khoảng, đóng khớp cắn & tinh chỉnh, tháo niềng.

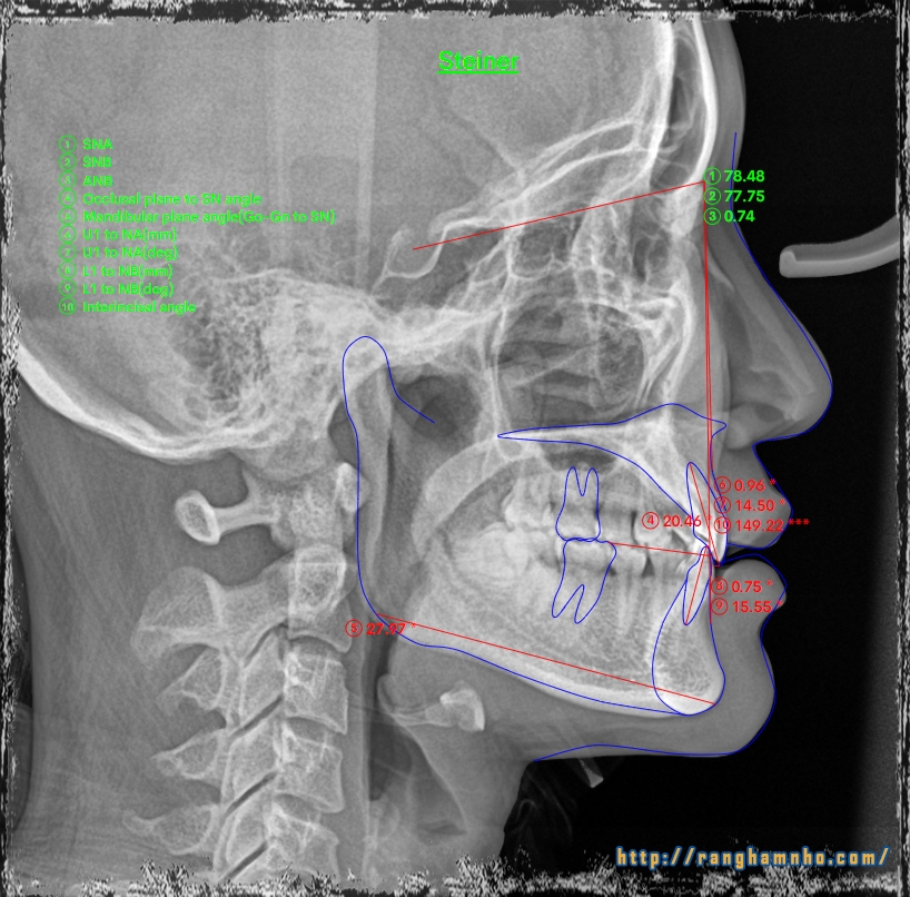
Kết quả phân tích phim mặt nghiêng


Zalo/ call Dr Duc: 0365500698 / ranghamnho@gmail.com
Mọi ý kiến góp ý xin liên hệ: https://www.facebook.com/dentalsharing or https://www.facebook.com/ranghamnho or https://www.youtube.com/ranghamnho
