
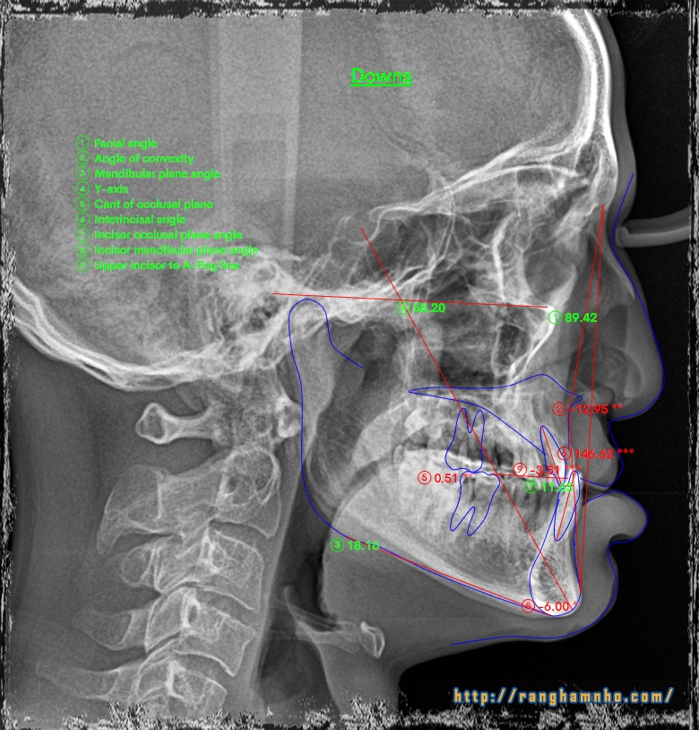
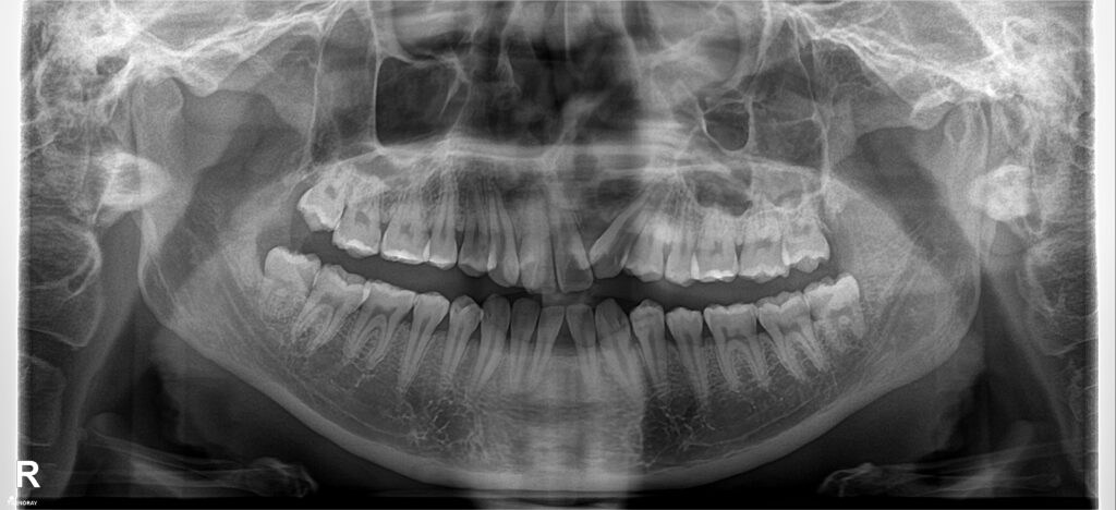
BN khớp cắn hạng 3, hàm trên nằm trọn trong hàm dưới. Hàm trên cực hẹp. Chỉ định nong hàm với ốc nong nhanh và dây Damon. Dựng trục răng 7 hàm dưới, torque lại trục răng hàm trên, giải “hẹp” hàm trên, kéo răng lệch phía khẩu cái ra ngoài. Giải khớp cắn ngược răng cửa, cắn kéo R7, tất cả dùng dây cung thẳng liên tục.



Zalo/ call Dr Duc: 0365500698 / ranghamnho@gmail.com
Mọi ý kiến góp ý xin liên hệ: https://www.facebook.com/dentalsharing or https://www.facebook.com/ranghamnho or https://www.youtube.com/ranghamnho
