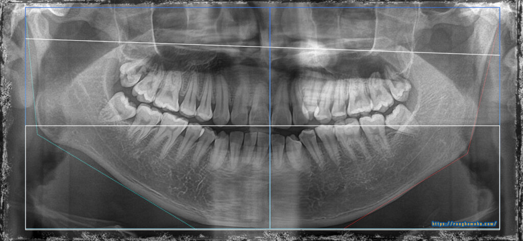
Lệch mặt hay MLD (lệch xương hàm dưới sang bên) là tình trạng cằm của BN lệch sang bên, không nằm trên đường giữa mặt làm khuôn miệng khi cười và thậm chí cả khi thả lòng đều lệch sang 1 bên. Tình trạng lệch này có thể căn nguyên do xương hai bên phát triển không cân, cũng có thể do sai khớp cắn làm bệnh nhân ăn nhai không đều hai bên dẫn đến lệch hàm. Với các trường hợp lệch do khớp căn (lệch xương hàm dưới chức năng) thì chỉnh nha có thể can thiệp niềng để tái lập lại đúng vị trí xương hàm dưới, đem lại kết quả tuyệt vời sau niềng. Với các trường hợp lệch do xương thì cần có chỉ định can thiêp phẫu thuật.

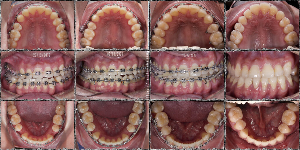
BN nam sinh năm 1994 khớp cắn hạng III, răng chen chúc. BN có sự phát triển không đồng đều của xương hàm dưới hai bên dẫn đến biến chứng lệch mặt. Kết hợp cả yếu tố sai khớp cắn do răng làm hàm dưới vừa lệch do xương lại vừa lệch do thích nghi chức năng. BN đã được nhổ 3R4 để giải quyết vấn đề chen chúc răng và kéo lùi nhóm răng cửa dưới.

Tình hình khi gặp gỡ: còn nhiều khoảng nhổ răng, khớp cắn ngược răng cửa, cắn chéo nhóm răng hàm cung 1. Đường giữa hàm dưới lệch nguyên 1 răng cửa. Mặt thẳng lệch rất rõ, cằm đưa hẳn sang bên phải.

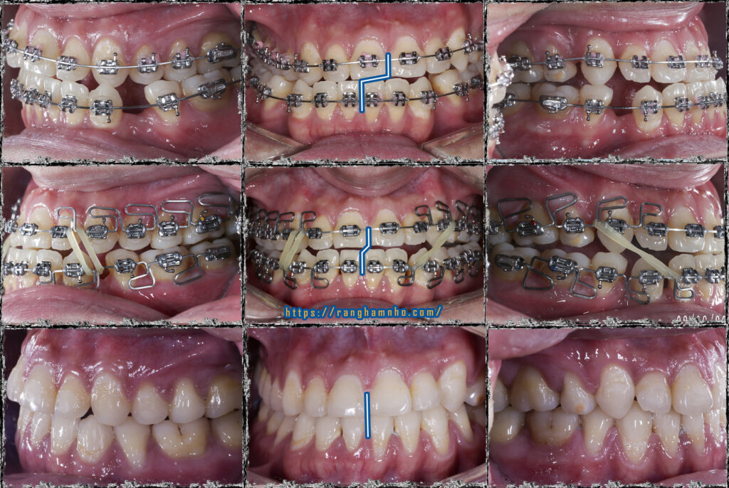
Xử lí: Đóng khoảng hàm dưới đến mức vừa phải để giải quyết cắn ngược răng cửa. Bẻ MEAW trên TMA 17×25 định vị lại vị trí xương hàm dưới. Sau đó chuyển lại kĩ thuật dây thẳng để kết thúc sau gần 2 năm.
Kết quả: đường giữa gần như thẳng, xương hàm dưới định vị về vị trí bình thường. Khuôn mặt cải thiện khá so với trước điều trị nhưng không thể hoàn hảo do căn nguyên sai lệch kết hợp đến từ sai lệch xương ![]()



Zalo/ call Dr Duc: 0365500698 / ranghamnho@gmail.com
Mọi ý kiến góp ý xin liên hệ: https://www.facebook.com/dentalsharing or https://www.facebook.com/ranghamnho or https://www.youtube.com/ranghamnho
