
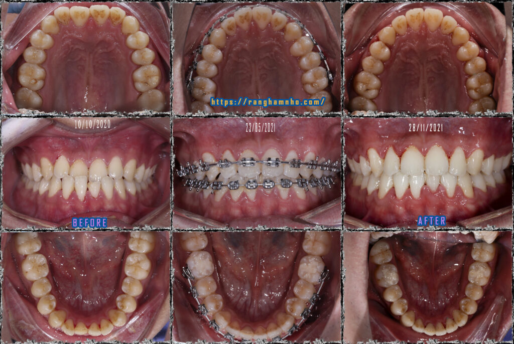
Cũng là khớp cắn ngược nhưng xét về độ khó thì khớp cắn ngược do răng điều trị sẽ đỡ vất vả hơn cắn ngược do xương nhiều. Bệnh nhân nam sinh năm 1998 đến khám niềng với mong muốn cải thiện nụ cười móm.

Bệnh nhân chọn niềng mắc cài truyền thống dây cung thẳng liên tục. Giai đoạn đầu san bằng sắp đều cung răng hai hàm, giai đoạn 2 vượt khớp tạo cắn chùm cắn chìa dương. Giai đoạn cuối tinh chỉnh khớp căn, duy trì và tháo niềng.

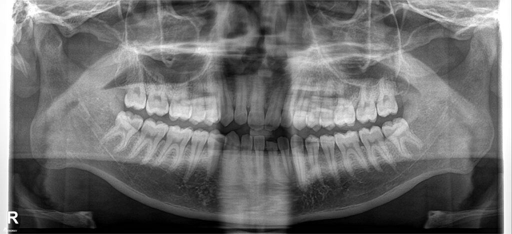
Kết quả tháo niềng sau 1.5 năm, thay đổi tích cực trên cả lâm sàng và trên phim xquang.


Zalo/ call Dr Duc: 0365500698 / ranghamnho@gmail.com
Mọi ý kiến góp ý xin liên hệ: https://www.facebook.com/dentalsharing or https://www.facebook.com/ranghamnho or https://www.youtube.com/ranghamnho
