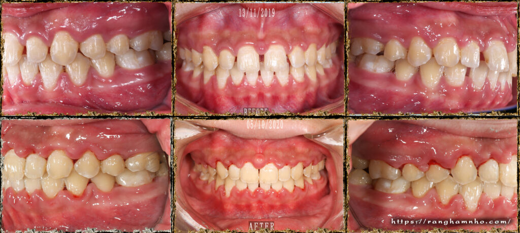
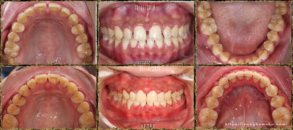
Bệnh nhân nữ sinh năm 2004 đã được điều trị tại 1 cơ sở nha khoa khác hơn 1 năm nhưng không cải thiện được tình trạng răng thưa, tình trạng việm lợi & hôi miệng cũng làm người nha BN lo lắng, không yên tâm trong công tác điều trị, cuối cùng có những khúc mắc ngoài lề giữa bác sĩ và người nhà nên BN không tiếp tục điều trị ở cơ sở cũ mà chuyển cơ sở điều trị khác.
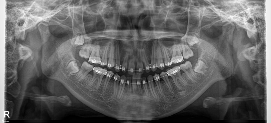
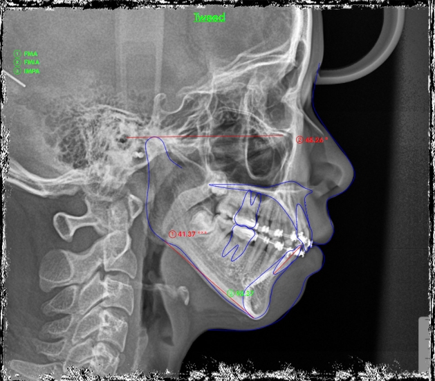
Đánh giá: một trường hợp khe thưa răng cửa giữa hàm trên rất hay gặp trên lâm sàng, nếu không đánh giá đúng tính hình có thể rất dễ bị tái phát do vấn đề khớp cắn, khi đong khe thưa không căn chuẩn thì đường giữa hai răng cửa hàm trên sẽ lệch so với đường giữa mặt (lệch đường giữa hàm trên) và đường giữa hàm dưới có thể không thẳng đường giữa hàm trên.
Phương án: đóng khe thư nhóm răng cửa trước, đánh giá cẩn thận khi đóng khe thưa răng cửa giữa hàm trên và hàm dưới kĩ lưỡng, đưa đường giữa về vị trí chuẩn, sau đó mới đóng hết khoảng và tinh chỉnh khớp cắn.
Kết quả: đường giữa đẹp, khớp cắn ổn sau 1 năm điều trị. Tuy nhiên, BN đeo niền lâu & yếu tố tuổi dạy thì làm tình trạng việm lợi- phì đại lợi tồn tại. BN được tháo mắc cài, hướng dẫn CSRM kĩ lưỡng kèm mát xa lợi, đeo hàm duy trì máng trong. Kết qảu tái khám rất ổn sau 6 tháng.

Mọi ý kiến góp ý & thắc mắc xin liên hệ: https://www.facebook.com/dentalsharing or https://www.facebook.com/ranghamnho or https://www.youtube.com/ranghamnho
Zalo/ call: 0365500698 / ranghamnho@gmail.com
