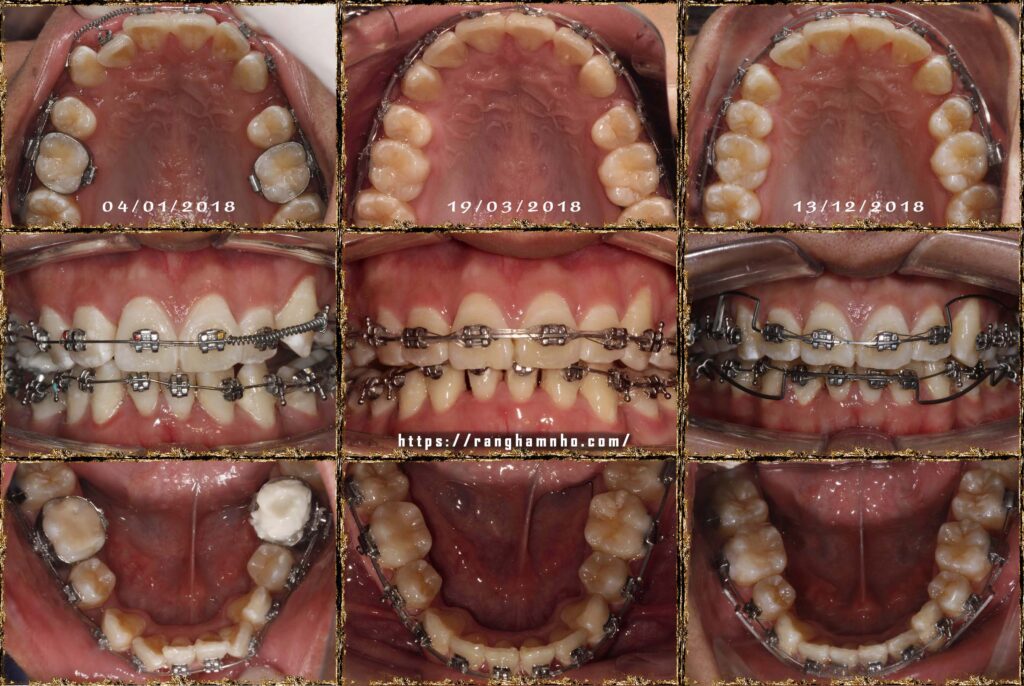
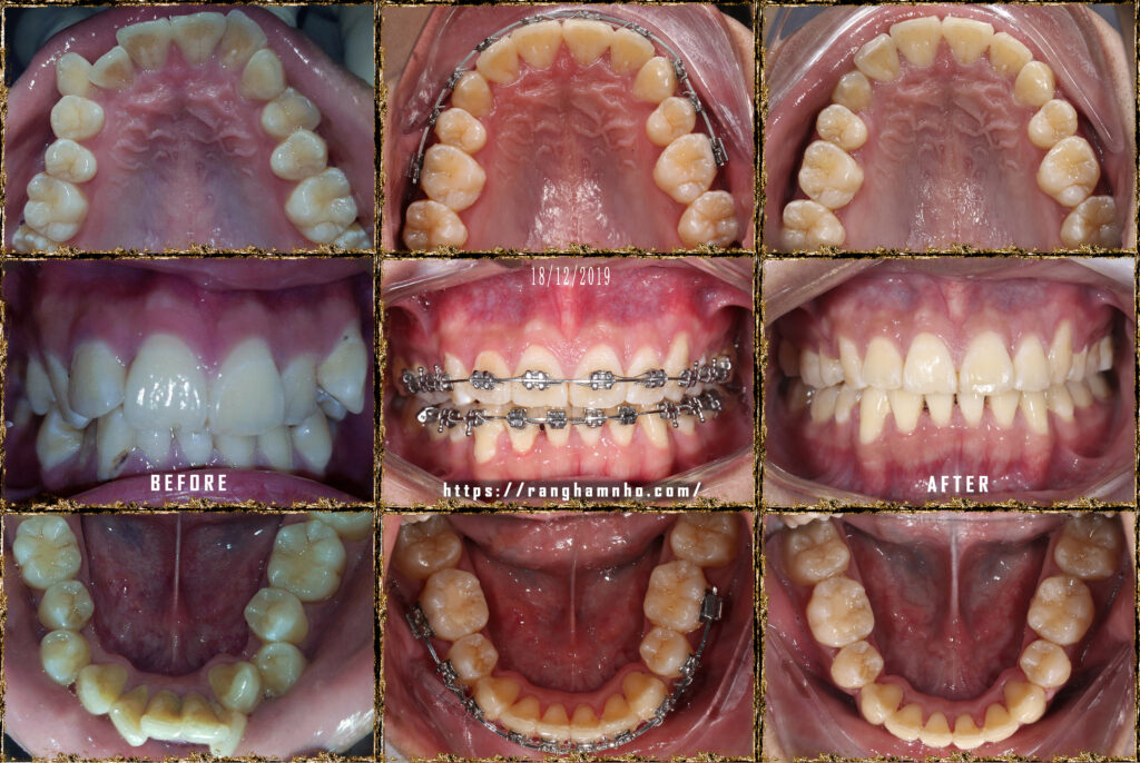
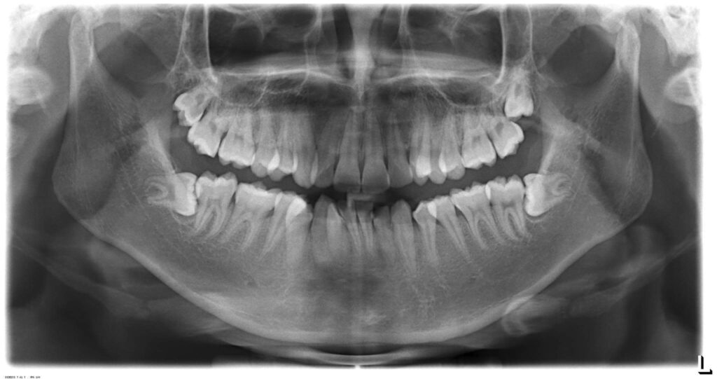
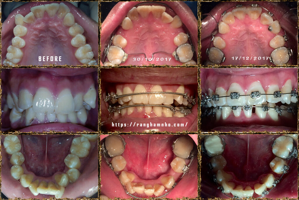
Bệnh nhân nam sinh năm 1998. Khớp cắn hạng I, với chen chúc và khấp khểnh nặng ở cả 2 hàm trên và dưới.
Cung hàm trên và cung hàm dưới đều hẹp, răng thiếu chỗ nghiệm trong.
Kế hoạch: Nhổ 4R4, chỉnh nha phân đoạn



Làm phẳng mặt phẳng cắn bằng cung tiện ích TMA 17×25 hai hàm




Mọi ý kiến góp ý & thắc mắc xin liên hệ: https://www.facebook.com/dentalsharing or https://www.facebook.com/ranghamnho or https://www.youtube.com/ranghamnho
Zalo/ call: 0365500698 / ranghamnho@gmail.com
