
Bệnh nhân đã hoàn toàn thay đổi sau điều trị niềng răng. Khuôn mặt thanh tú hơn, nụ cười tự tin hơn, hàm răng đều và tươi tắn hơn rất nhiều.
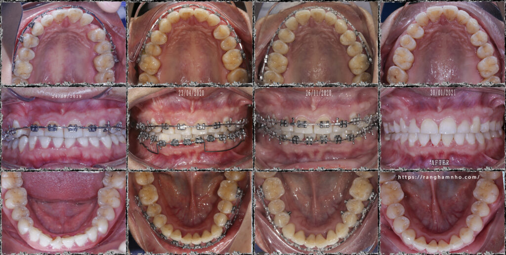
Trước điều trị: BN đã điều trị 2 năm tại 1 cơ sở nha khoa khác, và kết quả là, còn khoảng, răng còn xoay, khớp cắn chưa ổn định. R13 đáng phải giữ lại thì đã bị nhổ đi.
Phương án, ké di gần răng 4 về thay thế vị trí răng 3, xoay lại để làm đều nhóm răng cửa hàm dưới, bẻ torque để răng cửa trên đỡ chìa.
Kết quả: sau 1.5 năm điều trị, BN thoát niềng với các tiêu chỉ hoàn thành.




Phim chụp so sánh kết quả trước điều trị và kết quả sau điều trị.

Mọi ý kiến góp ý & thắc mắc xin liên hệ: https://www.facebook.com/dentalsharing or https://www.facebook.com/ranghamnho or https://www.youtube.com/ranghamnho
Zalo/ call: 0365500698 / ranghamnho@gmail.com
