
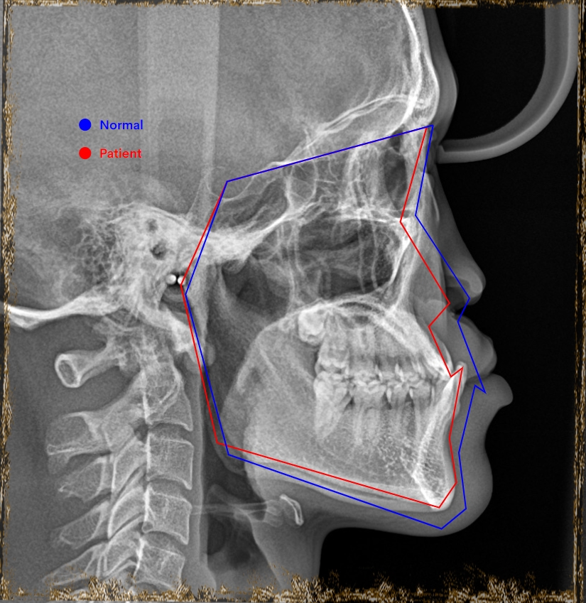
Chỉnh nha cho bệnh nhân khé hở môi là một thách thức bởi cung hàm luôn có xu hướng hẹp, tình trạng thiếu thừa răng cũng như hình thể và vị trí răng thường hay có những khác biệt đặc thù.
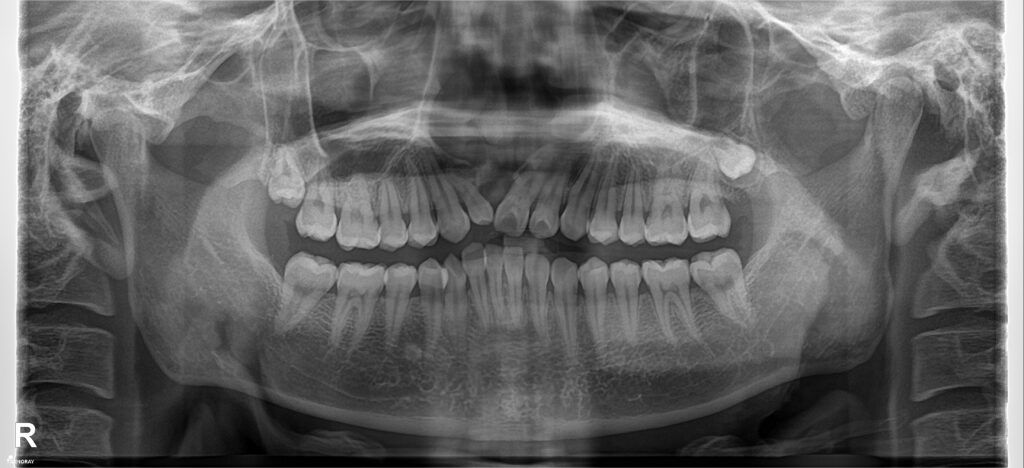
Đây là 1 case BN khe hở môi thiếu R11 bẩm sinh, trước điều trị là tình trạng hẹp hàm trên, cắn ngược hàm trên nghiêm trọng.
Bệnh nhân được giải cắn ngược, tạo khoảng phục hình R11. Kết thúc tháo niềng sau 1.5 năm điều trị


Mọi ý kiến góp ý & thắc mắc xin liên hệ: https://www.facebook.com/dentalsharing or https://www.facebook.com/ranghamnho or https://www.youtube.com/ranghamnho
Zalo/ call: 0365500698 / ranghamnho@gmail.com
