Hiệu ứng cuộn trong chỉnh nha (Bowing effect) là tình trạng các nhóm răng không dịch chuyển tịnh tiến theo mong muốn mà khi đó, các nhóm răng trước và nhóm răng sau bị “cuộn” lên gây hở khớp ở nhóm răng hàm nhỏ, nhiều trường hợp nặng gây hở cả khớp ở răng 6. Khi đó, các răng cửa và răng hàm đều trồi cao.
Có nhiều nguyên nhân gây hiệu ứng cuộn: lực kéo đóng khoảng quá mạnh, lực kéo đóng khoảng quá xa tâm cản, đường cong spee trước điều trị quá sâu, gắn sai mắc cài……..
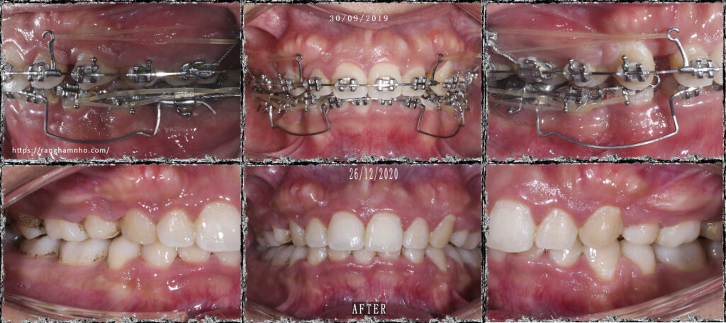
iBệnh nhân này đã được điều trị 2 năm tại một cơ sở phòng khám nha khoa khác. Bệnh nhân hô cả răng và xương & cười hở lợi. Tình trạng niềng hỏng rất nghiêm trọng, khớp cắn sâu 100%, mặt hô nhiều chưa được cải thiện.
Bệnh nhân được giải quyết khớp cắn sâu bằng cung tiện ích UA trên dây TMA 17×25. Kết quả không được hoàn hảo, nhưng là chấp nhận được đối với 1 case niềng hỏng đã quá thời gian điều trị rất lâu.

Kết quả phân tích phim: khớp cắn hạng II cả răng và xương, khớp cắn sâu 100%

Tình trạng trục răng lệch, sai nhiều do hiệu ứng cuộn & do gắn mắc cài sai.
Mọi ý kiến góp ý & thắc mắc xin liên hệ: https://www.facebook.com/dentalsharing or https://www.facebook.com/ranghamnho or https://www.youtube.com/ranghamnho
Zalo/ call: 0365500698 / ranghamnho@gmail.com
