
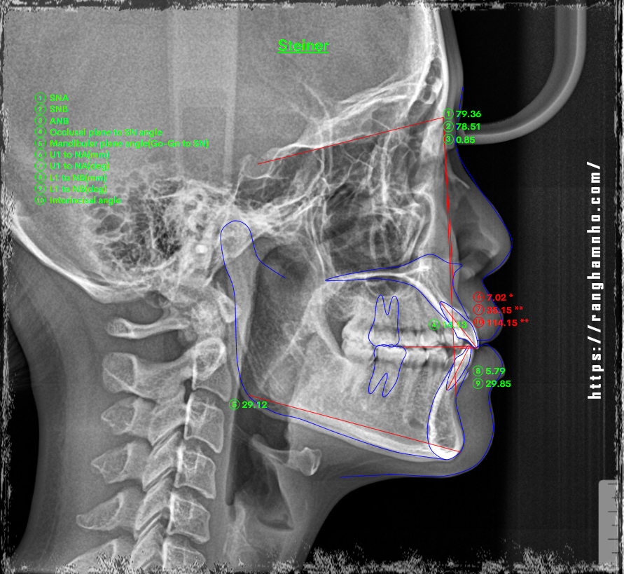
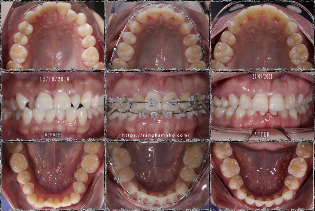
BN chọn niềng mắc cài thẩm mỹ tự buộc- saphirre tự buộc của mỹ, kết quả sau 1.5 năm niềng được tháo với nụ cười và khuôn mặt thay đổi nhiều sau niềng.
Tháo niềng và tiếp tục đeo hàm duy trì ban đêm.
.

Zalo/ call Dr Duc: 0365500698 / ranghamnho@gmail.com
Mọi ý kiến góp ý xin liên hệ: https://www.facebook.com/dentalsharing or https://www.facebook.com/ranghamnho or https://www.youtube.com/ranghamnho
