
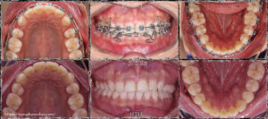
Bệnh nhân nữ, hô hàm trên & cười hở lợi. Môi trên mỏng, hớt, góc mô căm nhọn. Cung răng hàm dưới thiếu 1 răng cửa bẩm sinh.
Ảnh mặt nghiêng so sánh trước điều trị và sau điều trị: Đường viền mô mềm thay đổi rõ rệt, môi bớt nhọn, góc cằm môi được thay đổi trông thấy.


Kết quả phân tích phim mặt nghiêng cephalometric: Sai hình xương hạng II, cằm có xu hướng ra trước , cắn sâu khung xương.



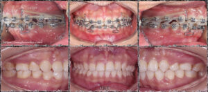
Kế hoạch điều trị: Nhổ 2 răng số 4 hàm trên, đóng khoảng bằng chun cuối, giải quyết khớp cắn sâu bằng cách đánh lún nhóm răng cửa và làm trồi nhóm răng hàm. Sử dụng T- loop SS 17×25 ở hàm dưới để đánh lún ở giai đoạn cuối.
Kết quả: khớp cắn ổn định, bênh nhân có một nụ cười hai hòa, thay đổi rõ rệt.

Mọi ý kiến góp ý & thắc mắc xin liên hệ: https://www.facebook.com/dentalsharing or https://www.facebook.com/ranghamnho or https://www.youtube.com/ranghamnho
Zalo/ call: 0365500698 / ranghamnho@gmail.com

