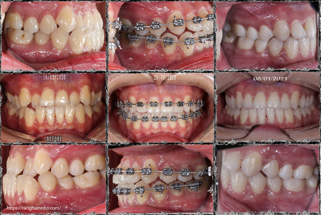
BN nữ sinh năm 1997 đến phòng khám với tình trạng khớp cắn ngược, răng hàm dưới nằm phủ ngoài răng hàm trên. Cung hàm trên hẹp, răng chen chúc. Cả hai cung răng hàm trên và hàm dưới có dạng vuông, khuôn răng rộng cười kém tươi.
Kế hoạch điều trị: Sử dụng toàn bộ là dây cung Damon không thay đổi quá nhiều hình dạng cung răng.


Trên kết quả chụp phim xquang mặt nghiêng cephalometric chuẩn hóa, cho kết quả sai hình xương hạng III (mặt lưỡi cày), trục răng cửa trên và cửa dưới đã bù trừ nhiều.

Nụ cười móm của bệnh nhân đã hoàn toàn được thiện, khuôn cười thay đổi tích cực


Mọi ý kiến góp ý & thắc mắc xin liên hệ: https://www.facebook.com/dentalsharing or https://www.facebook.com/ranghamnho or https://www.youtube.com/ranghamnho
Zalo/ call: 0365500698 / ranghamnho@gmail.com

