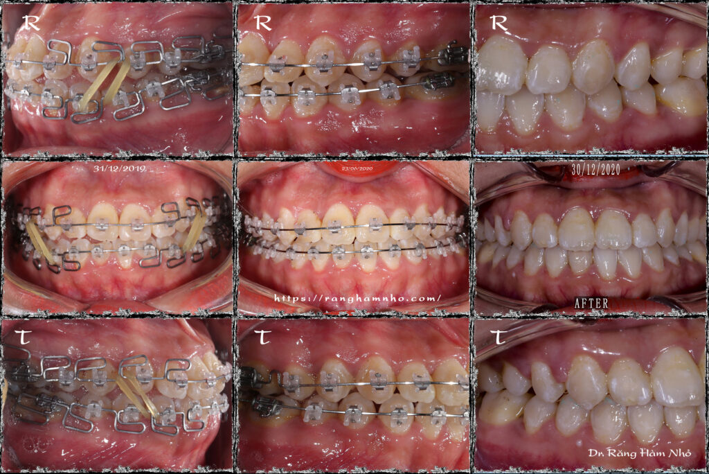
Một case sai khớp cắn hạng III góc đóng, với chen chúc cắn kéo nhiều răng. Giai đoạn san bằng và sắp đều đã được hoàn thiện trước đó. Dr Răng Hàm Nhỏ tiếp nhận và bẻ MEAW trên dây TMA 17×25 kết hợp thun 1/4 hạng III ngắn 6.5Oz trong 6 tháng. Giải quyết được hở khớp vùng răng hàm, lồng khớp hai hàm về tối ưu. Tinh chỉnh khớp cắn, duy trì và tháo niềng.


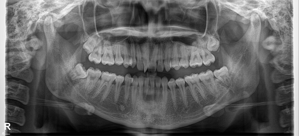
Kết quả so sánh phim chụp trước và sau điều trị.

Bệnh nhân hoàn toàn hết khuôn mặt lõm cắn ngược, nụ cười thay đổi như thành một người khác
Mọi ý kiến góp ý & thắc mắc xin liên hệ: https://www.facebook.com/dentalsharing or https://www.facebook.com/ranghamnho or https://www.youtube.com/ranghamnho
Zalo/ call: 0365500698 / ranghamnho@gmail.com
