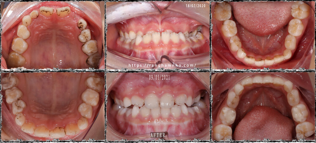
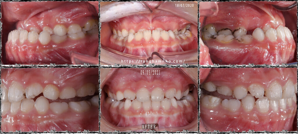
Một trường hợp BN sai khớp cắn hạng III đến khám và điều trị sớm. Một tình trạng sai khớp cắn hạng III nặng, có xu hướng quá phát xương hàm dưới, kém phát triển xương hàm trên cả ba chiều trước sau, ngang, trên dưới. Kiểu mặt đóng, profile mặt lưỡi cày điển hình.
Xử lí: điều trị với hàm Hyrax kết hợp kéo chun facemask 1/4 6.5Oz tích cực trong 8 tháng. Kết quả đáp ứng của bệnh nhân rất tốt, cải thiện ngoài mặt rõ rệt. Phân tích phim cephalometric cho thấy kết quả tuyệt với trước – sau điều trị

Ảnh ngoài mặt: Thay đổi rõ rệt khuôn mặt chỉ với niềng răng sớm

Ảnh cung hàm trước và sau điều trị nong hàm

Ảnh khớp cắn: khớp cắn răng sữa sẽ tự đóng sau 1-2 tháng

So sánh phim trước và sau

Mọi ý kiến góp ý & thắc mắc xin liên hệ: https://www.facebook.com/dentalsharing or https://www.facebook.com/ranghamnho or https://www.youtube.com/ranghamnho
